Blogia
A. L. Multiservicio Empresarial

“NEUROMARKETING” ¿Técnicas de futuro aplicadas al presente?

“NEUROMARKETING” ¿Técnicas de futuro aplicadas al presente?

            Dentro de muy poco tiempo cualquier empresa podrá utilizar el poder de la mente para vender sus productos, pese a estar en pañales este sistema en España, ya se utilizan con gran éxito en otros países.

             Dentro de la gran vorágine del mercado y partiendo de la base del todo vale como argumento de venta para lograr posicionar un producto o servicio. La última moda es el denominado “neuromarketing” esta innovadora técnica consiste en hacer que la ciencia ficción se haga realidad y se ponga al servicio de las grandes multinacionales del sector para aumentar sus ventas.

             Cuando hace unos años el director Steven Spielberg nos sorprendió con una película futurista protagonizada por Tom Cruise. (Minority Report, 2002) en la que se ponía de manifiesto hacia donde iban las tendencias del mercado en materia publicitaria, era solo la punta del iceberg que está por venir.

             El “neuromarketing” se ha convertido en un paso más especializado del “branding emocional”, sabemos que el 50% del marketing es emocional, un consumidor no compra un producto por que sea mejor que otro, sino por que le llega mas a dentro, se siente mas identificado.

             La técnica del “neuromarketing” es muy sencilla, medir el índice de satisfacción de un cliente por medio de varios parámetros y procesos. Detectar las preferencias de la mente, las reacciones ante los productos y los cambios de imagen, medir la eficacia de un anuncio por lo que trasmite y nos sugiere.

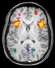
             Los medios utilizados para hacer estas mediciones son de aplicación médica, se trata de realizar a los consumidores en pruebas libres, catas controladas, o estudios de mercados, tanto con consumidores de primer impulso como en tests ciegos, e incluso por mistery shoppers, un seguimiento de sus conductas monitorizados para hacerles desde escáneres cerebrales hasta resonancias magnéticas.

             Pese a ser técnicas muy costosas para estandarizarse en la actualidad, el encefalograma puede costar 1.800€ por respuesta/cliente, y la resonancia magnética entre 3.000€ y 20.000€ según la complejidad del estudio y los parámetros a medir por respuesta/cliente.

             Sirvan como ejemplos los siguientes: estrategias de lanzamiento de bebidas isotónicas y refrescos con nuevos sabores “Acuarius Cola”. Sensaciones al ver nuevas marcas de lineales en los supermercados “Danone-Danet”, tanto en colores, como en sabores y texturas. Comparativa de productos “Coca-Cola/Pepsi” Relanzamiento de nuevas marcas y redenominación “Daewo-Chevolet”. Hay ya multitud de ejemplos en la vida diaria de los que no somos concientes, bombardeo continuo de estímulos que hacen que no podamos ser indiferentes a la publicidad y a las marcas.

             En la actualidad más de 50 multinacionales entre las que podemos nombrar a BMW, Nestlé, Coca-Cola, Danone, Pepsi o McDonalds están coqueteando con estas nuevas técnicas, mientras en España… ni se quiere oír hablar del tema. Todavía es una técnica nueva y está en pañales, pero es el poder de la mente quien dará la razón a esta nueva técnica, pero esperemos que solo sea una forma más de poder testear los productos y servicios. Los expertos auguran que si... pero solo tendrá éxito cuando investiguemos más sobre el verdadero poder del celebro.

1 comentario

Peter Paint -

Me ha encantado su artículo, son temas de los que es dificil oir hablar y mas poder entender a los que hablan sobre el tema. El futuro es una incognita pese a los indicios que se apuntan poco a poco pero no cree que poco a poco estaremos mas controlados y seremos menos libres?